사마귀란?

  1. 정의

    인유두종바이러스 감염으로 피부, 점막에 표피과다증식이 일어나 표면이 매끄럽지 않고 1cm 전후의 크기로 솟아나는 구진 형태의 증상

  2. 발병 원인

    인유두종바이러스(Human Papilloma Virus. HPV)의 감염

    *사람유두종바이러스라고도 함

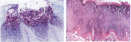
  3. 인유두종바이러스 및 조직검사

    - 인유두종바이러스 -

    - 조직검사결과 -

  4. 진단 및 증상

    *HPV유전자형(HPV 1-39)에 따라 분류됨

    1. 보통사마귀(Verruca vulgaris)
      • 가장 흔한 사마귀로 표면이 거칠고 주변과의 경계가 명확한 구진, 결절이 다양한 크길 발생
      • 손발가락, 손발등에 많으며 입술, 코 주변, 몸통에도 드물게 발생
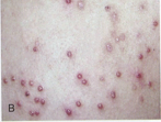
    2. 물사마귀 (감염성 사마귀, 전염성 연속증)
      • 광택을 띠는 반구형 구진으로 중심부는 함몰되어 있고 2-5mm 크기로 짜면 치즈양상의 부드러운 물질이 나옴
      • 주로 어린이에서 나타나고 남아보다 여아에서 많으나 성인에서도 발생
      • 단독, 집단적으로 발생하고 주로 얼굴, 몸통, 팔다리에 발생하나 성접촉으로 발병될 경우 생식기, 대퇴부 안쪽에서 발병
    3. 손발바닥 사마귀
      • 손발바닥에 발병하며 표면이 거칠고 딱딱하며 융기되는 것이 보통이나 발바닥 사마귀는 체중에 눌려서 피부밖이 아니라 속에 위치함

        *티눈과 구별

      • 누르면 통증이 있으며 주로 상처부, 발에 땀이 많이 나는 사람에서 발병
    4. 편평사마귀
      • 사마귀 표면이 작은 점에서 녹두크기보다 적은 정도로 편평하며 광택성 구진, 원형, 타원형 등 여러 모양
      • 주로 청소년기에 많으며 얼굴, 손등, 어깨에 많음
      • 정상색 또는 담갈색을 띰
    5. 생식기사마귀(뾰쪽콘딜로마)
      • 사마귀가 성기 및 주변에 나타나며 남자는 음경, 항문주위, 여성은 외음부, 자궁경부, 회음부, 항문에 있음
      • 감염성이 강하며 한번의 성접촉으로 50%가 감염되고 2,3개월후에 발병
      • 초기는 작은 구진으로 시작하며 점차 닭볏모양이 됨
      • 자궁경부암발병과 밀접한 관련이 있음
    6. 질병특징
      • 인유두종바이러스는 모낭, 땀샘주변의 자극세포에 많으며 표피세포가 증식하여 사마귀모양을 형성함
      • 어린이 청소년층에 많으며 HPV감염은 1-3개월후에 증상이 나타남
      • 의학적으로 사마귀 모양, 발병부위에 따라 분류함
      • 진행과정은 느리지만 점차 여러 곳에서 발생함. 특히 질병, 약물이나 면역력이 저하되는 시기에 급격히 숫자가 증가함
      • 치료 없이도 사라지기도 하지만 치료 후 재발성이 있음

        *재발율은 치료방법에 따라 차이

      • 염증은 없으며 단독, 산재 또는 밀집상태로 분포함

행파한의원 치료특징 및 결과

  1. 치료원칙 및 방법
    1. 치료원칙
      • 연구에 의해 확인된 항바이러스 효과있는 한약재 및 처방사용(바이러스제거)
      • 면역증강 및 개선효과가 있는 한약사용(바이러스증식억제)
      • 환자별 사마귀 발병상황 및 type(보통사마귀, 물사마귀, 손발바닥사마귀, 편평사마귀, 생식기사마귀 등)에 따라 다른 처방사용
    2. 치료방법

      *바이러스의 생존및 증식 등의 특징을 근거로 치료함

      • 복용한약, 외용한약
      • 침(일반침, 화침)과 뜸

        *인유두종바이러스가 42℃에서 15분이상이면 사멸하는 특징반영

      • 절제(직접제거)
  2. 치료전후 사진
  3. 치료결과
    • 치료율: 약 95%
    • 치료기간: 평균 1개월전후

      (*환자별 차이있음)

    • 재발률: (거의)없음
    • 독성 및 부작용

      복용한약은 일부 환자에서 경미한 소화장애 등이 있었으며 간 신장독성 및 부작용은 없었음. 외용한약에서 약한 피부 트러블이 있었으나 바로 해결됨

    • 치료 후 피부상태

      발병전의 피부상태로 정상회복

  4. 주의사항
    • 환자와 직접적인 접촉(밀접한 피부접촉, 키스 등)을 피하고 수건, 양말 등을 따로 사용
    • 상처나지 않도록 하며 특히 발(바닥)사마귀인 경우는 발이 습하지 않게 매일 깨끗이 관리함
    • 손(바닥)사마귀는 입에 대지 않도록 함
    • 사마귀가 이미 발생한 경우에는 병변이 다른 곳에 닿지 않도록 하며 퍼지는 것을 방지함
    • 안전하지 않거나 불결한 성접촉을 반드시 피함
    • 재발성이 있는 외과적 치료(직접제거) 보다 약복용 등의 재발없는 치료를 권장함
    • 다양한 음식, 충분한 휴식, 수면 및 운동, 스트레스 최소화 등의 건강유지 중요