화폐상습진이란?

  1. 정의

    동전모양의 붉은반점, 진물, 건조, 가려움, 부종의 염증증상이 피부에 나타나는 질병

    *동전습진, 화폐모양습진, (일반)습진이라고도 함

  2. 진단 및 증상
    1. 진단
      • 동전모양의 피부염 확인
      • 세포면역((IgE, Th1, Th2, Th17세포)기능결함과 인터루킨세포( IL-4, 5, 9, 10, 18, 33)의 과도한 활성화로 피부에 염증발생
    2. 증상(사진)
      • 붉은 반점
      • 국소(귀,유방,손발톱,두피,항문)
        귀(외이)
        항문
        유방유두
        손(발)톱
        두피
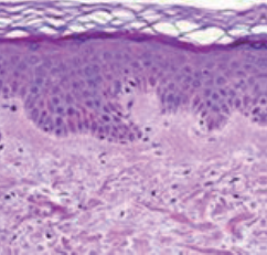
  3. 피부내부조직
    정상피부
    습진조직
  4. 원인
    • 유전,감염,음식,알레르기,약물,호르몬분비,체질(寒),허약,복합(2개이상 원인참여)
    • 악화요인: 과로,피로,스트레스,불면,음주,소화장애 등
  5. 질병특징
    • 알레르기물질의 접촉,섭취로 발병하는 과민성질병(알레르기성 질병)
    • 동전모양의 염증성 피부염으로 여러 습진중 하나임
    • 초기에는 작은 동전크기이지만, 점차 손바닥크기로 커지며 경계가 분명함
    • 좌우대칭이며 반복발작(호전악화의 반복)하여 만성화됨
    • 전신에 걸처 발생하거나 얼굴,유방,생식기,항문,귀 등의 특정한 곳에 한정되어 발생
  6. 의학적 한계 및 문제점
    • 근본적인 치료가 안되어 장기간 호전악화가 반복, 신체 정신 정서적으로 허약(쇠약)
    • 환자삶의 질이 매우 낮음
    • 타인의식,적극적 관계를 피함
    • 치료약물의 부작용,독성

      *스테로이드

    • 기존 질병악화,새로운 질병이 발생할 수 있음

행파한의원 새로운 의학적 관점

  1. 타의료기관과 비교
    타의료기관 행파한의원
    • 면역세포활성억제
    • 소염(염증제거)
    • 피부과중심치료
    • 의학의 한계 및 문제점
    • 다양원인, 단일기전
    • 면역세포활성억제
    • 소염(염증제거)
    • 피부과, 내과복합치료
    • 환자별 맞춤치료
    • 다양원인, 단일기전
  2. 1,500여명 화폐상습진환자분석
    • 감염

      바이러스,세균감염후 발생하거나 악화되며 발열,구갈인건,초기,확산기,어린이,청소년기에 많다

    • 알레르기물질

      식품,화학물질,중금속,목걸이,고무장갑,옻나무,은행나무 접촉,자극으로 발생악화. 알레르기체질

    • 약물

      항생제,항균제,해열진통제,통풍치료제,수면제 약물복용과 관련있음, 기저질환(동반)있음

    • 유전

      가족중 습진(피부염)이 있으며 (AR1)Ⅱ, Filaggrin(FLG)유전자결함,돌연변이와 관련있음

    • 호르몬분비이상

      피부염악화,발생,호전이 월경,임신출산,폐경기와 밀접함

    • 허약

      습진의 만성화,잔병치례,기저질환관 관련이 있으며 피부건조, 심한가려움이 있음, 육체정신적 기능이 약하고 氣血순환이 느림

    • 寒체질

      평소 손발,아랫배가 차고 추위를 싫어하며 옷을 두텁게 입거나 따뜻한 것을 좋아함. 주로 겨울에 심하며 땀배출이 적고 주로 진물(맑음),부종이 동반됨

    • 복합

      위의 2개이상 원인이 동시,복합적으로 관련되어 있으며 피부염의 증상,특징이 다양함. 전신성, 난치성임

  3. 발병과정

행파한의원 치료특징 및 결과

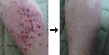
  1. 치료사진
    • 감염
    • 알레르기물질(접촉,자극)
    • 약물
    • 유전
    • 호르몬분비이상
    • 허약
    • 寒체질
    • 복합
    • 완치후 5년뒤(재발없음)
  2. 치료결과

    발병원인별 치료율(%), 치료기간, (완치후)재발율

    원인별 치료율 기간 재발율
    감염 95% 2~3 거의없음
    알레르기 95% 2~3 거의없음
    약물 95% 1~3 거의없음
    유전 86% 3~5 거의없음
    호르몬분비이상 84% 3~4 거의없음
    허약 86% 3~4 거의없음
    寒체질 90% 3~5 거의없음
    복합 90% 5~6 거의없음

    *치료율,기간은 평균이며 환자별로 차이가 있음

  3. 치료장점
    • 빠른효과, 근본치료, 재발방지
    • 장기간 호전악화, 난치성치료가능
    • 철저한 원인별 맞춤처방
    • 땀배출, 피부비후화, 색소침착이 정상회복됨
    • 체질개선(몸내부기능변화)
  4. 치료원칙
    • 근거기반진료(ebm)
    • 안전우선,건강증진

      *치료율, 기간은 평균이며 환자별로 차이가 있음

    • 저렴한 치료비
  5. 치료방법
    1. 복용한약
      • 원인별 처방(환자별 처방다름)
      • 몸안 염증제거
      • 근본치료
      • 중요 치료법
      • 2~3회/일 복용
    2. 외용한약
      • 증상별(습성,건성)처방
      • 피부염증제거(감소)

        *노출부위

      • 선택적
      • 1~2회/일 사용
      • 기혈순환개선
      • 선택
      • 1회/주, 1회/월
    3. 이외
      • 정서,음식조절,올바른 일상생활상담