어루러기란?

  1. 정의

    곰팡이균(진균)인 “Malasezzia furfur”, “pityrosporum orbicalare”의 피부감염과 증식으로 나타나는 질병(증상)

  2. 실제 어루러기균
    현미경 관찰
  3. 진단 및 증상
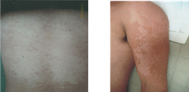
    • 콩크기의 자주색, 갈색(황갈색), 백색, 혼합형의 반진이 있으며 그 위에 미세한 광택성 인설이 덮여 있음
    • 특징적인 어루러기 증상이나 우드등으로 황갈색 형광이 있으면 쉽게 진단 가능
  4. 기전 및 발병단계
    • 적혈구가 혈관밖으로 나오고 혈철소(hemosiderin)가 침착(혈청침착증)되어 지방괴사가 진행되어
       2차로 피부가 나무껍질로 변하고 피하지방층의 경화가 발생함(지방경화증)
    • 발병단계
  5. 분류
    • 일반적으로 자주색(적색), 갈색(황갈색, 흑색), 백색, 혼합, 기타로 구분
    • 자주색(적색)
    • 갈색, 황갈색(흑색)
    • 백색
    • 혼합
    • 기타(특이)
  6. 발병단계
  7. 임상특징
    • 몸통(전후), 목, 팔중심으로 발생하여 점차 커짐
    • 땀이 많은 체질, 여름철에 발생, 악화함
    • 원형의 반진, 크기는 다양하며 여러색을 띤다
    • 자주색, 갈색(황갈색), 백색의 단일색 중심이지만 발생부위, 기간에 따라 2개이상의 색을 동시에 띤다

      *가장 먼저 생긴 어루러기는 백색, 중간은 갈색, 최근은 자주색

    • 통증, 가려움증이 없으나 만성화되면 가벼운 가려움, 땀이 많이 나며 따갑거나 가렵다
    • 반점이 산재, 서로 융합되어 구름모양을 형성한다
  8. 기타
    • 타인에게 전염성이 있음
    • 점차 전신으로 진행, 확산됨
    • 백색어루러기는 치료가 더디고 난치성이며 복잡함

      *색소재생치료(피부색회복)를 해야 함

    • 단일원인으로 발생하지만 체질, 발생기간 등에 따라 증상이 다양함
    • 피부가 지저분하고, 노출부위로 진행(확산)되어 육체, 정신정서적 악영향이 있음
    • 호전악화의 반복성과 계절성(여름에 심하고 겨울은 호전)이 있음

행파한의원 치료특징 및 결과

  1. 치료전후 사진
    • 자주색
    • 갈색, 황갈색
    • 백색(피부색정상회복)
    • 혼합

    *이외 상당한 자료있음

  2. 치료결과
    유형 치료율 치료기간 재발율
    증상치료율(%) 균제거율(%)
    자주색 100 100 2주 거의없음
    갈색(황갈색) 100 100 3주 거의없음
    백색 95 100 1~2개월 거의없음
    혼합 95 100 1~2개월 거의없음

    *백색, 혼합형(백색포함)은 외용, 내복(복용약) 동시 치료결과임

    *혼합형은 2개이상의 어루러기가 동시에 있는 것을 말함(자주색+갈색, 자주색+흰색 등)

    *치료율, 치료기간은 평균이며 환자별 일부 차이있음

    • 치료시작후 최초효과: 4~7일
    • 치료후 피부상태: 발병전의 피부(피부색)로 정상회복
    • 부작용 및 독성: 부작용, 간 신장독성 없음

      *안전성이 확인된 약물, 처방사용

    • 치료과정: 단순간편하며 직장, 학업 일상생활에 불편성 없음
  3. 치료방법
    1. 외용한약
      • 피부 어루러기균의 멸균효과
      • 환부, 주변에 여러 번 바르고 문지름
      • ∙1~2회/일
      • 모든 어루러기에 필수사용
    2. 복용한약
      • 피부기능개선, 색소재생효과(피부색정상회복)
      • 2~3회/일
      • 백색, 혼합형(백색포함), 일부 갈색 어루러기에 적용
      • 피부기능개선효과
      • 1회/주
      • 보조치료
  4. 단계별 효과(치료중간 단계)
    • 자주색
    • 갈색, 황갈색
    • 백색(피부색정상회복)
    • 혼합
      - 치료전, 치료중(완치) -
  5. 행파한의원 치료특징
    • 외용약중심의 어루러기균 멸균치료

      *(빠른효과, 타인 감염예방)

    • (치료후)피부기능 및 피부색 정상회복

      *특히 백색, 혼합(백색포함)어루러기는 피부색소재생중요(멜라닌생산)

    • 어루러기 발병상태에 따라 외용약 다름
    • 빠른효과, 저렴한 의료비, 안전최우선치료
  6. 평소 유의사항
    • 증상치료율보다 어루러기균 제거율이 중요

      *일부 남아 있는 어루러기균이 증식하여 재발, 타인감염제거(재발율 zero화)

    • 가족, 동거인 어루러기 확인, 동시 치료 필요

      *수건, 세면, 속옷 등으로 전염

    • 평소 자주 씻음, 속옷 자주 갈아 입는 습관중요

      *특히 고온다습한 여름철, 땀이 많은 체질