손습진(주부습진)이란?

  1. 정의

    손등, 손바닥, 손가락에 붉은반점, 진물(건조), 부종, 가려움이 나타나는 질병

    *주부습진이라고도함

  2. 진단 및 증상
    1. 진단
      • 손등, 손바닥, 손가락의 습진, 피부염의 확인으로 쉽게 진단이 가능함
    2. 증상(사진)
      붉은 반점
      부종 및 진물
      소양증
      건조
      손톱
      접촉성
      비후화, 색소침착
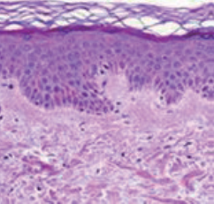
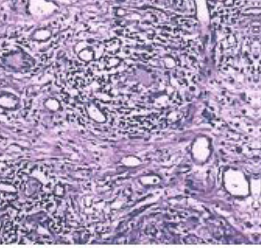
  3. 피부내부조직상태
    정상피부
    손습진조직
  4. 원인
    • 유전, 감염, 음식, 알레르기, 약물, 호르몬분비, 체질(寒), 허약, 복합(2개이상 원인참여)
    • 악화요인
      • 고무장갑착용, 세제, 화장품 등의 물리화학적 접촉, 과로, 피로, 스트레스, 불면, 음주, 소화장애
  5. 질병특징
    • 알레르기물질의 접촉,섭취로 발병하는 과민성질병(알레르기성 질병)
    • 염증성 피부염으로 여러 습진중 하나임
    • 초기에는 작지만, 점차 커지며 경계가 분명함
    • 대부분 좌우대칭이며 반복발작하여 만성화됨
    • 진물(습성),건조(건성),부종,가려움이 기본적으로 동반됨
  6. 의학적 한계 및 문제점
    • 근본치료가 안되어 장기간 호전악화가 반복
    • 타인의식,악수 등 접촉을 피함
    • 치료약물의 부작용,독성

      *스테로이드

행파한의원 새로운 의학적 관점

  1. 타의료기관과 비교
    타의료기관 행파한의원
    • 면역세포활성억제
    • 소염(직접염증제거)
    • 피부과중심치료
    • 단일치료
    • 다양한 원인,단일기전
    • 면역세포활성억제
    • 소염(염증제거)
    • 피부과,내과복합치료
    • 환자별 맞춤치료
    • 다양한 원인,다양기전
  2. 의학적 특징
    • 감염: 바이러스,세균감염 후 발생하거나 악화되며 발열,구갈인건,초기,확산기
    • 알레르기물질: 고무장갑,염료,접착제,소독제 접촉으로 발생하며 4,000여종이 있음
    • 약물: 항생제,항균제,해열진통제,통풍치료제,수면제복용과 관련있음.기저질환(동반)있음
    • 유전: 가족중 습진(피부염)이 있거나 (AR1)Ⅱ, Filaggrin(FLG)유전자결함,돌연변이와 관련있음
    • 호르몬분비이상: 피부염의 발생,호전,진행이 월경,임신출산,폐경기와 밀접한 관련이 있음
    • 허약: 습진의 만성화,잔병치례,기저질환이 있으며 피부건조,심한 가려움이 있음. 평소 몸이 허약하고 氣血순환이 느림
    • 寒체질: 평소 손발,아랫배가 차고 추위를 싫어하며 옷을 두텁게 입거나 따뜻한 것을 좋아함. 주로 겨울에 심하며 땀배출이 적고 주로 진물(맑음),부종이 동반됨
    • 복합: 위의 2개이상 원인이 복합적으로 관여하며 특히 피부염증상,특징이 다양함
  3. 발병과정

행파한의원 치료특징 및 결과

  1. 치료사진
    • 감염
    • 알레르기물질(접촉,자극)
    • 약물
    • 유전
    • 호르몬분비이상
    • 허약
    • 寒체질(손발이 차고 추위탐)
    • 복합
    • 완치후 5년뒤(재발없음)
  2. 치료결과

    발병원인별 치료율(%), 치료기간, (완치후)재발율

    원인별 치료율 치료기간 재발율
    감염 95% 2~3개월 거의없음
    알레르기 95% 2~3개월 거의없음
    약물 95% 2~3개월 거의없음
    유전 86% 4~5개월 거의없음
    호르몬분비이상 84% 4~6개월 거의없음
    허약 86% 3~4개월 거의없음
    寒체질(손발차고 추위잘탐) 95% 3~5개월 거의없음
    복합 90% 3~5개월 거의없음

    *치료율,기간은 평균이며 환자별로 차이가 있음

  3. 치료장점
    • 빠른효과, 근본치료, 재발방지
    • 장기간 호전악화, 난치성치료가능
    • 철저한 원인별 맞춤처방
    • 땀배출, 피부비후화, 색소침착이 정상회복됨
    • 체질개선(몸내부기능변화)
  4. 치료원칙
    • 근거기반진료(ebm)
    • 안전우선,건강증진

      *치료율, 기간은 평균이며 환자별로 차이가 있음

    • 저렴한 치료비
  5. 치료방법
    1. 복용한약
      • 원인별 처방(환자별 처방다름)
      • 몸안 염증제거
      • 근본치료
      • 중요 치료법
      • 2~3회/일 복용
    2. 외용한약
      • 증상별(습성,건성)처방
      • 피부염증제거(감소)

        *노출부위

      • 선택적
      • 1~2회/일 사용
      • 기혈순환개선
      • 선택
      • 1회/주, 1회/월
    3. 이외
      • 정서,음식조절,올바른 일상생활상담