백반증이란?

  1. 정의

    피부에 흰반점이 한두곳,여러곳,전신에 있으며,이로인해 정신,심리적 불안감이 큰 질병

  2. 진단 및 증상
    1. 진단: 우드등으로 쉽게 가
    2. 증상별 분류
      종류 Type 발생크기 및 특징
      심상성 국소형 전체피부의 1%이내
      산재형 전체피부의 1~50%
      전신형 전체피부의 50%이상
      말단형 손발가락, 눈, 입술, 생식기 등 몸의 말단(끝)에 발생
      편측성 단절형 몸의 한쪽(왼, 오른쪽)에만 발생

      *심상성은 몸의 좌우 모두에 발생,편측성은 왼쪽,오른쪽 한곳에만 발생한 백반증

      *편측성은 최근 심상성백반증과 다른 특이백반증으로 분류함

    3. 사진
        국소형
        산재형
        전신형
        말단형
        단절성
  3. 발생원인

    유전자이상,자가면역기능이상,신경파괴,호르몬분비,약물 등으로 추정

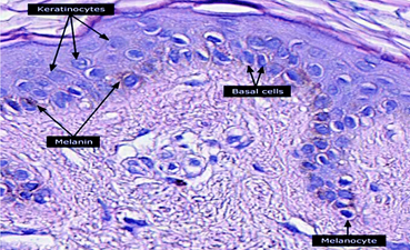
  4. 멜라닌세포와 각질형성세포
  5. 문제점 및 한계
    • 의학: 확실한 재발없는 치료법이 없음
    • 환자(가족): 대부분 불치,난치성질병으로 인식
  6. 질병특징
    • 보통 질병과 달리 수명단축,통증이 없음
    • 타인의 시선으로 인해 고통스럽고 사람간의 관계를 피함
    • 자식(후손)에게 생길 수 있다는 불안,염려증 있음
    • 백반증만의 특이한 질병특징이 있음

행파한의원 새로운 의학적 관점

  1. 타의료기관과 비교
    타의료기관 행파한의원
    • 멜라닌생산 촛점
    • 단일원인중심
    • 외부치료(엑시머 등)
    • 환자별 동일원인
    • 멜라닌세포기능화복으로 안정적 멜라닌생산
    • 각질형성세포기능의 정상화로 멜라닌의 균등한 이동분포
    • 자가면역기능 안정화
    • 멜라닌 과다배출방지
    • 2개이상의 복합원인
    • 내과중심치료(피부과 보조)
    • 환자별 원인다름
  2. 백반증환자분석

    *수천명 환자특징

    1. 피부문제
      • 소양증,알레르기(과민),수술,상처,압박부발생,노출(눈,목,손등,팔)부위,자가면역기능이상,염증 등
    2. 인체 내부문제
      • 유전(체질),탈모,白毛,뼈근육허약,월경,임신출산,갱년기,몸이차고 덥고,땀배출 많음,감기,위장장애,
        스트레스,기저질병,멜라닌세포의 기능저하
    3. 복합문제
      • 피부,인체내부관련 증상,특징이 골고루 있음
      • 자가면역기능이상,멜라닌세포,각질형성세포문제,땀배출 문제가 모두 관련됨
  3. 발병과정

행파한의원 치료특징 및 결과

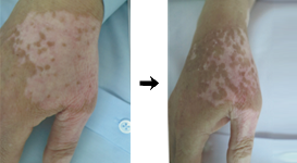
  1. 치료사진
    1. 완치

      *국소형, 산재형, 말단형, 절단형 백반증에 적용

      ㆍ국소형 ㆍ산재형
      ㆍ전신형
      ㆍ난치형

      *이전 방법으로는 치료안됨

      ㆍ부위별
      - 손등, 손가락 -
      - 입술 -
      - 눈가 -
      - 두피 -
      - 생식기 -
      - 젖꼭지(유방) -
      ㆍ편측성 ㆍ말단형
    2. 치료중
      ㆍ크기감소중 ㆍ색소생성중 ㆍ크기감소 및 색소생성중 ㆍ단일피부색으로 전환중 ㆍ완치후 10년뒤(재발없음)
  2. 치료결과

    발병원인별 치료율(%), 치료기간, (완치후)재발율

    종류 Type 치료율 기간 재발율
    심상성 국소형 93% 5~6개월 없음
    산재형 88% 1~2년 없음
    전신형 74% 2~3년 없음
    말단형 85% 수개월~1년 없음
    편측성 절단형 80% 수개월~1년 없음

    *치료율,기간은 평균이며 환자별로 차이가 있음

  3. 치료장점
    • 빠른효과
      • 소아,청소년:1,2개월, 성인:2,3개월, 노인:3,4개월

        *치료시작후 효과가 나타나는 기간

    • 정상피부색회복 또는 단일색으로 전환(변화)
    • 환자별 맞춤치료

      *백반증 크기,부위,건강상태에 따라 멜라닌생산,이동분포,배출방지이론적용

    • 다양약물, 처방사용
    • 편리한 치료과정(월1회 방문)
    • 난치백반증(손등,손가락,입술,눈가,두피,생식기)치료
  4. 치료원칙
    • 근거기반진료(ebm)
    • 꾸준한 치료, 연구병행
    • 합리적 진료비
    • 건강증진, 안전우선
  5. 치료방법
    1. 복용한약
      • 필수치료법
      • 충분한 멜라닌생산(멜라닌세포기능회복)및 파과방지(자가면역기능안정화)
      • 멜라닌의 골고루 이동분포
      • (피부밖으로)멜라닌배출방지
      • 근본치료
      • 1~3회/일 복용
    2. 외용한약
      • 선택치료
      • 노출부위(얼굴,손등,목)중심
      • 커버효과,멜라닌세포자극으로 빠른 멜라닌생성
      • 1~3회/일
      • 선택
      • 기혈순환개선으로 피부,인체기능의 정상화
      • 일반침, 火針
      • 1회/주, 1회/월
    3. 이외
      • 심리안정,음식조절,올바른 일상생활상담
  6. 치료방향
    1. 멜라닌세포기능회복
      • 충분한 혈액 및 영양공급,호르몬분비가 안되거나,기저질환으로 멜라닌세포가 정상적인 기능을 못해서 발병
      • 정상피부색으로 회복
    2. 멜라닌세포파괴방지및 염증제거
      • 자외선,수술,압박,상처로 멜라닌세포파괴
      • 자가면역기능이상의 안정화
    3. 멜라닌배출방지
      • 땀배출 등으로 멜라닌이 피부밖으로 과다배출됨
    4. 멜라닌의 균등한 이동분포
      • 멜라닌이 피부에 골고루 분포되지 않고 백반증 경계선이나 정상피부로 과다이동됨
      • 각질형성세포기능문제로 발생하며 멜라닌을 백반증부위로 이동시킴
      • 피부색을 단일화함
  7. 치료목표
    • 원래 피부색으로 회복(멜라닌생산)
    • 단일색으로 전환(멜라닌을 골고루 이동분포시킴)