건선이란?

  1. 정의

    피부에 붉은반점,구진,인설(딱지),각질의 염증증상이 나타나는 질병

  2. 진단 및 증상
    1. 진단
      • 건선만의 독특한 증상,특징확인으로 가능

        *일부는 조직검사필요

    2. 증상(사진)
      심상성건선(일반형)
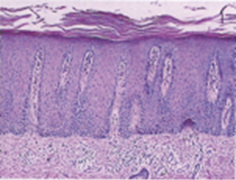
  3. 건선피부조직
    정상피부
    건선피부
  4. 원인
    • 유전,감염,약물,호르몬분비,각질형성세포분화이상,면역기능항진,체질(열성,냉성),허약,복합 등
  5. 질병특징
    • 붉은반점,구진,인설(딱지),각질 등의 기본증상 이외에도 환자별 독특한 특이증상이 있음
    • 짧은시간에 전신으로 확산됨

      *일부만 국소형

    • 심상형건선(일반형)과 특이건선(홍피,관절,농포)으로 구분
    • 일반면역계,자가면역계이상의 특성이 동시에 있음
    • 면역매개 전신성 염증질병으로 분류함
    • 장기화되면 만성염증으로 암,당뇨병,고혈압이 발생,악화됨
    • 삶의질이 매우낮음
  6. 의학적 한계 및 문제점
    • 근본적인 치료법이 없으며 호전악화가 반복됨
    • 치료약물의 부작용,독성,후유증이 있음

      *스테로이드

    • 몸내부의 여러기관,기능이 관여하는 복잡한 질병으로 연구,치료법개발에 상당한 어려움이 있음

행파한의원 새로운 의학적 관점

  1. 타의료기관과 비교
    타의료기관 행파한의원
    • 면역세포억제, 염증제거
    • 피부과중심치료
    • 단일원인, 동일기전
    • 면역세포억제, 염증제거
    • 피부과, 내과복합치료
    • 환자별 원인차이, 다양한 기전
    • 건선상태에 따라 급성, 아급성, 만성으로 구분치료
  2. 2,000여명 건선환자분류,분석
    1. 급성건선
      • 최근 2개월에서 1년이내 발생하거나 악화,열감기,감염증발생후 발생(악화),발열,구갈인건,땀배출,변비,급성염증
      • 물방울,판상,국소형,전신형,홍피형건선
    2. 아급성건선
      • 최근 1,2년사이 발병,발병이후 건선악화,정지,호전의 반복(불안정),아급성염증
      • 환상(동전),전신형,농포형건선
    3. 만성건선
      • 발병이 2년이상됬으며,정지,호전상태(일부는 악화),계절성(겨울에 심하고 여름에 덜함),땀배출이 적거나 없음,
         손발이 차고 추위탐,피부비후,색소침착,건조피부,유전,만성염증(허증염증)
      • 지도상,어혈성,전신,관절형건선
    4. 복합건선
      • 급성,아급성,만성건선의 증상,특징이 모두있는 복잡하고,특이건선,이전에 여러치료법,약물복용(오용),복합원인
      • 굴껍질,특이(홍피,관절,농포형)건선,증상이 복합적이고 특이하며 난치성임
  3. 발병과정

행파한의원 치료특징 및 결과

  1. 치료사진
    • 완치
      1. 급성
      2. 아급성
      3. 만성
      4. 복합(종합)
      5. 완치후 5년뒤 건선(재발없음)
    • 단계별 효과(치료중간반응)
      1. 적반감소
      2. 구진
      3. 인설(딱지)
      4. 건조피부개선
  2. 치료결과

    발병원인별 치료율(%), 치료기간, (완치후)재발율

    건선유형 치료율 기간 재발율
    급성 95% 3~4개월 매우낮음
    아급성 92% 3~5개월 매우낮음
    만성 90% 4~6개월 매우낮음
    복합 90% 5~6개월 매우낮음

    *치료율,완치기간은 평균이며 환자별로 차이있음

    *건선유형분류는 이환기간,건선증상,특성에 근거하였음

  3. 치료장점
    • 빠른효과,높은완치율,낮은재발율

      *치료후 효과기간 : 2~4주

    • 피부기능회복으로 땀배출,비후성및착색피부 정상화
    • 환자별 맞춤치료

      *염증발생원인별 처방

    • 편리한 치료과정(월1회 방문)
    • 제2질병(암,당뇨,심혈관질병)예방,기존 질병악화방지및치료
  4. 치료원칙
    • 근거기반진료(ebm)
    • 치료,연구병행
    • 환자중심치료
    • 안전한 약물,처방사용
  5. 치료방법
    1. 복용한약
      • 필수치료법
      • 몸안의 염증,염증발생원인 없앰

        *면역세포안정화(정상회복)

      • 2,3회/일 복용
    2. 외용한약
      • 선택(환자별)
      • 노출부위(얼굴,손등,목)중심
      • 직접적 소염효과(빠른변화)
      • 2,3회/일
      • 선택
      • 기혈순환개선, 피부 및 인체기능 정상회복
      • 1회/주, 1회/월
    3. 이외
      • 정신정서,심리안정,음식조절,금연,금주,일상생활 등