기미란?

  1. 정의

    얼굴(뺨, 이마, 코, 윗입술, 턱)등 노출부위에 불규칙한 모양과 다양한 크기로 갈색점이 넓게, 집중되어 침착되는 색소과다질병

    *黃褐斑(황갈반), melasma이라고도 함

  2. 원인 및 악화요인
    1. 원인

      *명확하지 않음

      • 유전(체질)
      • 과도한 멜라닌 생산, 이동분포문제
      • 임신출산및 폐경기
      • 경구피임약
    2. 악화요인
      • 약물(광독성약물, 항경련제)
      • 내분비이상
      • 영양부족
      • 간기능이상, 난소 및 자궁질환
      • 태양광선노출
      • 반복적 과도한 피부자극(화장 등)으로 인한 피부장벽파괴
    3. 발병과정

      *행파한의원 규명(최초)

      • 멜라닌의 과도한 생산, 이동분포문제
  3. 발생기전
  4. 진단 및 증상
    1. 증상
      • 햇빛노출부위인 얼굴의 뺨, 이마, 눈주위, 윗입술, 턱 등에 갈색(또는 청회색)의 색소침착이 넓고 집중적으로 불규칙하게 나타남
      • 좌우 대칭적이며 색소침착이외의 혈액검사, 영상사진 등은 정상
      • 색소침착의 깊이에 따라 기미의 색차이가 있음. 색소침착이 표피에 있을 때는 갈색, 진피에 있을 때는 청회색,
         혼합형은 갈회색임, 혼합형이 가장 많음
      • 주로 임신기, 폐경기에 발생하며 월경불순과 관련이 있음
      • 태양광선에 의해 악화되기 때문에 겨울에 호전, 여름에 악화됨
      기미
    2. 진단 및 검사
      • 눈(시각)으로 쉽게 진단 가능
      • 우드등 검사
      • 다른 질병구별

        *염증후 색소침착, 오타모반양 반점 등

      • 색소침착의 깊이 확인
      • 조직검사

        정상피부

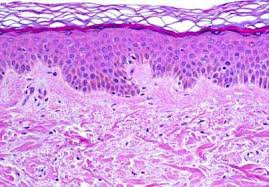
        주근깨

        *조직검사에서 표피, 진피 또는 양쪽 모두에서 멜라닌(색소)가 증가한 소견이 보이지만
          멜라닌세포 수는 증가하지 않으며 크기가 커지고 가지가 많으며 활성화됨

  5. 기타
    • 주로 30-40대 여성에서 발생하며 임신 출산, 월경주기에 관여하는 sex 호르몬과 관련이 있음
    • 정확한 원인은 알려지지 않아 완전한 예방과 치료에 한계 있음
    • 햇빛노출, 화장법(두드리고 문지르고 벗기고 압박함)으로 인한 피부자극 등의 협동작용으로 발병(추정)

      *피부자극은 멜라닌생성의 주요요인 중 하나임

행파한의원 치료특징 및 결과

  1. 치료접근 방법
    • 과도한 멜라닌 생성억제
    • 일부 피부로 편중과다분포된 멜라닌을 골고루 퍼지게 함
    • 환자별 맞춤처방

      * 환자의 기미상태, 특징, 건강에 따라 다른 처방

    • 완치후 재발방지(근원치료)
  2. 치료방법
    • 복용한약(*환자별 차이)
    • 외용한약(*일부환자)
    • 생활습관개선
  3. 치료전후 사진
  4. 치료성과
    • 치료율: 92%
    • 치료기간: 3개월 전후 (*환자별 차이)
    • 재발률: (거의)없음
    • 독성부작용: 간, 신장 독성은 없었으며 한약복용과정 중 일부 환자에서 경미한 설사, 위장장애가 있었음
  5. 유의사항
    • 평소 태양광선을 피하고 자외선 차단제. 챙이 넓은 모자 쓰고 긴 옷을 입음
    • 비타민c, 과일 등을 섭취
    • 얼굴화장 시 과도하게 두드리고 문지르고 압박을 최소화
    • (필요시) 일정기간 피부과 동시치료 가능