신경섬유종증이란?

  1. 정의

    신경, 피부계에 단일, 다발성으로 섬유종이 생기는 질병

    *다발성을 신경섬유종이라고 함

  2. 증상 및 진단
    1. 증상

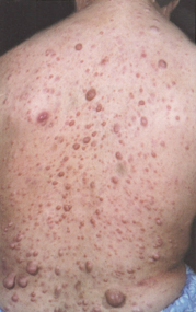
      신경, 피부, 골관절, 혈관, 안과계 등에서 다양한 증상이 나타남

      • 신경 피부계

        피부계: 커피색 반점, 전신 피부발생 (특히 흉부, 사지) , lich결절

        중추신경계: 시신경교종, 성상세포종 종양, 두통, 간질

      • 근골격계

        척추측만증, 가성관절, 척추파열

      • 혈관계

        신장, 내분비선, 심장, 위장관의 혈관이상

      • 안과

        시신경종양, 녹내장

      - 신경섬유종증 -

  3. 분류
    1. 섬유종증상태 기준
      • 종과가 불규칙하고 단단함 (총상신경섬유종증)
      • 점액으로 밋밋하고 치즈처럼 부드러운 촉감(비총상신경섬유종증)
      • 복합형
    2. 섬유종증발생숫자 기준
      • 단일 (1개)
      • 다발성 (전신에 여러 개)
  4. 진단
    1. 신경섬유종 제1형 (NF1)
      • 커피색 반점
      • 겨드랑이, 서혜부 주근깨 양상
      • 눈종양
      • 1개이상의 신경종 (또는 2개 이상의 신경섬유종)
      • 근골격계 이상
      • 2개이상의 lich결절
      • 가족력 (직계가족)
    2. 신경섬유종 제2종 (NF2)

      *아래의 증상이 2개이상이면 진단

      • 양측성 제 8뇌신경의 신경종 (또는 양측성 신경종)
      • 신경섬유종
      • 뇌수막염
      • glioma, schmanoma
      • 연소형 posterior subcapsular
      • lenticular opacity
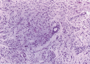
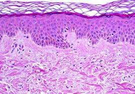
  5. 조직검사

    정상피부

    신경섬유종

  6. 환자특징
    • 남녀간 동일 유병율
    • 영아 사춘기 사이에 발병

      *70%가 생후 1세이하에서 발병

    • 50% NF1은 가족력이 있음. 이외는 가족력이 없이 돌연변이에 의해 발병됨
    • 상당수 환자(10-30%)에게 척추측만증이 있음
    • NF1이 NF2보다 더 많음
    • 일부 커피반점은 악성화됨

행파한의원 치료특징 및 결과

  1. 발병과정(단계)
  2. 치료기전
    • NF1, NF 2유전자결함으로 인한 영향(피해)을 최소화함
    • 돌연변이 유전자를 off 시킴 (epigenetic, 후성유전학)

      *trigger작용을 억제

  3. 치료방법
    • 복용한약 (환자별 맞춤처방)
  4. 치료전후 사진
  5. 치료성과
    1. 환자상태별 효과
      • 예방(발병진행억제): 가능
      • 조기초기단계 치료율: 13명/17명 (76%) *완치(5명)
      • 中,重의 악화방지(더 이상 진행억제): 가능
    2. 치료기간
      • 6 ~ 14개월

        *환자별 차이

    3. 재발률: (거의)없음
    4. 부작용, 독성

      한약복용 중에 일부 환자에서 경미한 위장장애가 있었으며 간신장 독성부작용은 없었음

    5. 치료효과 특징
      • 발병방지, 억제(예방적 치료) 권장
      • 초기조기단계치료 권장
      • 中,重症의 완치는 불확실
  6. 유의사항
    • 발병원인은 분명하지만 확실한 치료법은 없는 상태
    • NF1,2 발병유전자, 돌연변이 유전자의 활성(발현)을 억제(또는 저하)하는 게 중요

      *유전자발현 억제요소(원인) 투여

    • 신경섬유종증 상태, 환자건강 상태 등을 고려하여 처방하는 게 중요
    • 2개이상 원인이 공동작용하여 발병함 (행파한의원 연구결과)