월경진이란?

  1. 정의

    월경주기에 따라 매월 반복 발생하는 피부염

    *월경 2-3일전, 월경중, 월경 3-5일후에 주기적으로 반복되는 피부염, 두드러기, 여러 형태의 적반, 구진, 포진 등의 습진 및 여드름 모양의 염증이 나타남

    * ”자가면역프로게스테론피부염”이라고도 함

  2. 발병원인

    호르몬과다분비(황체호르몬), 자가면역이상, 스트레스, 질병, 약물, 체질, 허약, 기혈순환장애 등

  3. 유형분석

    홍반형, 두드러기형, 자반형, 가려움형, 여드름형

  4. 발병단계
  5. 진단 및 증상
    1. 진단
      • 신체의 특정부위에 두드러기, 적반, 구진, 여드름의 피부염, 트러블이 발생하며 월경주기에 따라
         증상이 악화, 호전이 반복되는 증상, 특징의 확인
    2. 분류
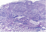
    3. 월경진 피부조직

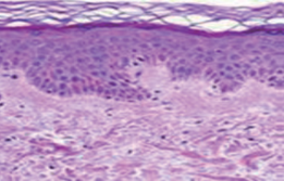
      정상피부

      신경섬유종

  6. 환자의 진짜 고통
    • 폐경기까지 주기적으로 반복되는 증상으로 장기간 육체 정신적 고통이 크다.
    • 피부염이 주로 얼굴에 주로 발생(부분, 전체 안면홍조)되어 피부미용문제로 자존감, 자신감이 낮다.
    • 확실한 치료법이 없으며 높은 재발율,치료불확실성이 높다.
    • 특히 청소년기는 인격및 자아성장, 자신감 등에 영향을 미친다.
    • 전문분야가 다양하며 치료도 달라 혼란스럽다.
    • 생식기, 호르몬분비문제로 발생하지만, 증상은 피부에서 나타나는 독특한 질병이다.
       의학적으로 관련분야는 부인과, 피부과로 부인과에서는 자궁절제, 피부과는 피부염으로 진단하고 치료한다.

행파한의원 치료특징 및 결과

  1. 치료전후 사진
  2. 치료결과
    • 치료율: 95%
    • 치료기간: 1-2개월( *환자별 차이)
    • 재발율: 거의 없음

      *치료 종결후 6개월까지 확인

    • 독성 및 부작용

      일부 환자에서 경미한 복통, 설사 등의 위장장애가 있었으나 곧 회복되었으며 간, 신장 독성은 없었다.

  3. 월경진, 월경진환자의 특성분석

    *월경진관련 환자의 공통적 특징을 최초로 분류한 것임

    • 허약

      약한 적반(붉은 반점), 구진, 소양증, 두드러기가 있다. 이러한 증상이 특히 월경 후에 심하며 평소 월경량이 적다. 과다 출혈경험이 있거나 현훈, 숨차고 기운이 없고 얼굴이 창백하다. 뼈근육이 약하고, 허리 무릎이 통증이 있고 시리다.

    • 감염

      돌발성 두드러기, 가렵고 팔다리가 붉은 반점, 심하게 긁은 흔적, 작렬감이 있다. 평소 감기증상이 있으며 춥고 땀이 많고 두통, 열이 있다. 월경주기가 빨라지며 양이 많고 색이 붉다. 대부분 월경 전, 중에 나타난다.

    • 冷한 체질

      체온이 낮고 몸, 손발, 아랫배가 차며 추위를 싫어한다. 땀이 적고 심한 월경통이 있으며 색이 검고 덩어리가 있으며 월경량은 적다.

    • 스트레스

      월경 전, 중에 넓게 구진, 홍반, 두드러기, 가려움이 있다. 월경 주기가 불규칙하고 양이 많고 유방이 단단하고 통증이 있다. 가슴이 답답, 성격이 급하며, 옆구리 통증, 입이 쓰고 마르며 소변이 누렇다. 청소년이 많으며 평소 과민, 예민한 성격이다.

    • 기혈순환장애

      자반, 눈주위 색소침착, 혈소판감소증 등이 있다. 어혈성 체질로 평소 멍이 잘 생긴다. 특히 생리통이 심하며 색이 검고 덩어리가 있다.

    • 복합원인

      허약, 감염, 冷한 체질, 스트레스, 기혈순환장애 등의 2개이상원인이 동시 단계적으로 작용하여 발생한다. 증상, 특징 등이 다양하고 복잡하다. 비교적 발병기간이 길고 몸이 허약하거나 다른 질병이 있다.

  4. 질병특징
    • 단일, 여러 원인이 동시, 순차적으로 작용한다.
    • 몸의 여러 기능, 기관이 관여하는 복합질병이다.

      *호르몬 분비, 자가면역계이상, 생식기 등

    • 환자별 원인이 다르며 증상, 특징의 차이가 있다.
    • 전신건강, 생식기 기능과 연관되어 임신 출산에 영향이 있다.
    • 폐경기까지 이어지는 난치 만성질병이다.
  5. 치료방법
    1. 중요치료
      • 한약복용

        *환자별, 발병원인별로 치료(처방)이 다름

    2. 보조치료
      • 침(화침)
      • 외용한약

        *빠른 증상완화 효과가 있음

      • 심리치료, 음식조절 등