편평태선이란?

  1. 정의

    피부와 점막에 특징적인 구진, 심한 가려움, 건조를 동반하는 염증성 피부질병

  2. 원인
    • 불명확(정확한 원인을 모름)
    • 유전, 면역계이상, 특정 약물, 바이러스감염, 장기간 스트레스나 긴장 등이 관련된 것으로 알려지고 있음
  3. 진단 및 증상
    1. 증상
      • 심한 가려움, 특징적인 구진

        *가려움은 특히 밤에 심함

      • 구진은 분홍(자주색)으로 표면이 편평하며 일부 환자는 구진이 모여(뭉쳐져서) 크게 보이기도 함
      • 주로 전신성, 대칭적이며 특히 손목의 안쪽, 몸통, 허벅지 안쪽, 발목에 주로 발생
    2. 분류
      • 일반적(전형적)
      • 구강점막, 입술
      • 손톱

        *손톱에 골이 패이고 빠질 수 있음

      • 두피

        *부분적 탈모가능

      • 상처 외상부

        *긁거나 상처, 외상후 그 부위에 발생(쾨부너 현상)

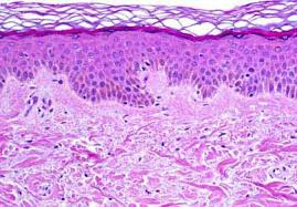
    3. 진단
      • 특징적인 임상증상으로 판별(1차)
      • 피부조직검사(2차)

        *90%이상에서 특징적인 조직검사 소견이 있음

      • 각질층은 정상이며 톱니모양의 표피증식, 과립층의 비대, 기저층에 괴사된 각질형성세포, 공포성 액화변성이 있음

      정상피부조직

      편평태선조직

  4. 기타
    • 구강점막 및 입술, 피부의 윈인불명의 비감염성 만성 표재성 염증성 질병
    • 30-60세에서 많이 발생하여 어린이에서는 드뭄
    • 자연소실과 악화를 반복
    • 환자의 삶의 질에 크게 나쁜 영향
    • 일부 구강편평태선은 구강암으로 진행함

행파한의원 치료특징 및 결과

  1. 치료접근 방법
    • 환자별 맞춤치료
    • 편평태선 증상, 특징, 분석
    • 환자의 건강, 기저질환, 체질 반영
    • 한의학(중의학), 서양의학 연구결과를 치료에 응용
  2. 치료방법
    • 복용한약 (환자별 맞춤처방)
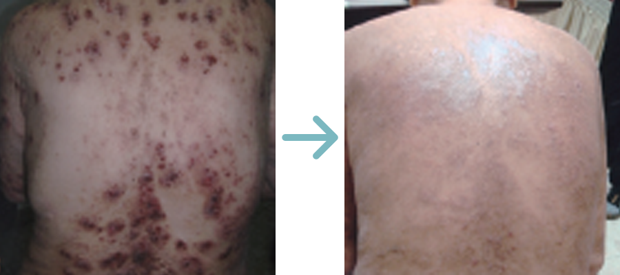
  3. 치료전후 사진
  4. 치료성과
    • 치료율: 92%
    • 치료기간: 2,3개월 (*환자별 차이)
    • 재발률: (거의)없음
    • 부작용: 한약복용중에 일부 환자에서 경증의 위장장애가 있었으며 간, 신장독성은 없었음
    • 치료 후 피부상태: 발병전의 정상피부로 회복
  5. 유의사항
    • 불필요한 특정약물 복용이나 음식 등을 삼가
    • 평소 땀 날 정도의 강도 있는 운동, 사우나
    • 충분한 수분섭취
    • 외상주의, 가려워도 긁는 것을 최소화하여 피부나 점막손상을 최소화
    • 구강을 청결히 하고 규칙적인 치아관리가 필요