손발바닥 각화증이란?

  1. 정의

    손바닥, 발바닥에 각질이 과도하게 두텁게 형성되는 증상

  2. 원인
    • 독성물질, 대사 및 순환장애 등으로 추정

      *확실한 원인은 알려지지 않음

  3. 진단 및 증상
    1. 증상
      • 각화증이 손발바닥 전체 또는 일부에서 발생함

        *환자마다 증상, 정도에 차이가 있음

      • 각질이 두텁고 넓으며 깊은 골이 생기거나 붉은 테두리가 나타남
      • 多汗症이나 물집이 생기기도 함
      • 드물게 손등에도 발생
      • 손발바닥에 한정되어 일부, 전체의 피부조직이 과다 증식
    2. 진단
      • 특징적인 손발바닥각화증의 임상증상으로 판별 (1차)
      • 이학적 검사, 유전자(KRT1, KRT9) 검사로 진단
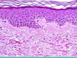
      • 조직검사 (2차)

      - 정상 피부조직 -

      - 각화증 피부조직 -

  4. 주의사항
    • 초기, 조기 진단 치료 중요
    • 경증, 중증에 따라 치료율, 개인차이가 있으나 선천, 후천성(유전 여부)은 큰 차이가 없음
    • 유전성인 박탈성각질융해증(keratolysis exfoliativa)과 구별필요

행파한의원 치료특징 및 결과

  1. 치료접근 방법
    • 환자별 맞춤치료
    • 환자별 손발바닥 각화증 증상, 특징분석
    • 한의학(중의학), 서양의학 연구결과의 치료반영
  2. 치료방법
    • 복용한약(손발바닥의 경중, 건강상태 등에 따라 처방이 다름),
    • 외용한약
  3. 치료전후 사진
  4. 치료성과
    • 치료율: 88%전후
    • 치료기간: 최소 2,3개월(*경중, 유전성여부에 따라 차이)
    • 재발률: (거의)없음 *치료후 6개월동안 관찰결과
    • 부작용: 한약복용중 일부 환자에서 경미한 위장장애 등이 있었으며 간, 신장독성, 기타 부작용은 없었음