어린선이란?

  1. 정의

    피부가 물고기 비늘처럼 각질이 일어나고 건조 및 각화되는 질병(증상)

    * ”비늘증”이라고도 함

  2. 원인
    • 선천성(유전): 상염색체 우성유전
    • 후천적: 악성종양, 약물 및 독성물질, 갑상선기능 저하증, 사르코이드 등의 질병 후 발병
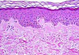
  3. 조직
    - 정상 조직 -
    - 어린선 조직 -
  4. 진단 및 증상
    1. 증상
      • 피부가 전반적으로 미세한 비늘로 덮어져 있으며 가렵고 건조하며 두꺼워져 있음
      • 비교적 전신에 걸쳐 나타나지만 팔다리 접히는 곳, 겨드랑이 등은 없음
      • 유형은 심상형(일반형) 판층형(넓고 여러 층으로 쌓임), 홍피형(적색) 등이 있음
    2. 진단
      • 피부관찰로 쉽게 진단
      • 가족력 확인은 매우 중요
  5. 기타
    • 선천성 질병으로 출생시 또는 후에 발병하여 나이가 먹을수록 심해짐. 청소년, 청년기에 가장 심하며 이후 진행이 정지됨
    • 여름에 심하고 겨울에 덜함(호전)

행파한의원 치료특징 및 결과

  1. 치료접근 방법
    • 환자별 맞춤치료

      *어린선 증상, 정도의 반영

      *환자의 건강, 기저질병 등 고려

    • 한의학(중의학), 서양의학의 연구결과를 종합분석
    • 효과가 확실한 치료법 및 처방 사용(ebm)
  2. 치료방법
    • 환자별 맞춤형 복용한약, 외용약
    • 생활습관개선
  3. 치료전후 사진
  4. 치료성과
    • 치료율: 90% 전후
    • 치료기간: 3-9개월 (*환자별 차이)
    • 재발률: (거의)없음
    • 독성부작용: 한약복용중 일부 환자에서 경미한 위장장애가 있었으며 간신장독성 문제는 없었음
  5. 유의사항
    • 평소 충분한 보습 유지(보습제, 오일) 및 수분섭취, 꾸준한 운동
    • 미지근한 물로 목욕(*너무 뜨거운 물은 삼가)
    • 인위적 각질제거는 금지(삼가)
    • 초기(조기)단계 치료권장